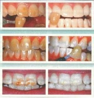
See Our Smile Transformations
Check out real results from our satisfied patients. Call (215) 547-0110 to schedule your consultation!
QUICK LINKS
CONTACT US
Phone:
Email:
thefamilydentistdrmathur@gmail.com
Address:
173 Lincoln Highway
Fairless Hills, Pennsylvania 19030
BUSINESS HOURS
Monday: 9:30 am – 5:00 pm
Tuesday: 10:00 am - 7:00 pm
Wednesday: 9:30 am - 1:00 pm
Thursday: 10:00 am - 5:00 pm
Friday: 9:30 am - 1:00 pm
Alternate Saturdays: 9:00am - 1:00 pm
Sunday: Closed

